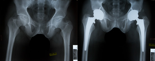
Primary total hip replacement is performed to treat chronic hip pain and limited mobility. It replaces the damaged joint with a durable artificial implant, helping patients regain natural movement and long-lasting relief.
Our website update is in progress. Limited information is displayed for now. Full details will be available soon!
From diagnosis to surgery and recovery, our team ensures you receive expert treatment and individual attention throughout your treatment journey
+91-422-254-2542